Smoking crack cocaine is one of the quickest ways to develop a dangerous health condition called crack lung. While any form of cocaine is hazardous to physical and mental health, smoking crack cocaine is highly addictive, with a higher risk of long-term lung disease and pulmonary complications than snorting cocaine. Many people wonder what does crack do to your lungs, and the answer lies in its ability to cause severe inflammation and permanent tissue damage within a short period of time.
There is a direct relationship between cocaine use and crack cocaine addiction in the United States. Each year roughly 5.9 million people will abuse cocaine, and 1.4 million will freebase cocaine, also known as smoking crack.
Smoking Crack Cocaine
Smoking crack cocaine is a cheaper, faster way for cocaine users to get high.
Smoking crack cocaine causes an almost instant high, but the effects are short-lived, meaning users need to take frequent hits to keep the buzz going. The fast and powerful impact, combined with the repetitive use to stay high, makes crack a highly addictive illicit drug.
Crack cocaine is one of two forms of cocaine; the other is a loose white powder form. Crack cocaine is a solid, rock form that gets its name from the cracking and popping noise it makes when it heats up.
Dealers make crack by reducing or “cooking” cocaine with water and ammonia until it dissolves, leaving crystals behind, then mixing it with other substances that can bulk up the product to make it cheaper and more potent. Most of these substances, like detergent or boric acid, are toxic, especially when burned and inhaled.
Crack cocaine users use pipes, improvised pipes, or foil to inhale crack fumes. Inhaling fumes and ash from plastic, foil, and other materials puts users at a higher risk of lung damage and disease.
The desired effects of smoking crack cocaine include:
- Increased alertness
- Confidence
- Feelings of euphoria
- Increased sex drive
- Decreased appetite
- Heightened sensitivity to stimuli
People who smoke crack have a higher risk of respiratory failure, cocaine-induced psychosis, pulmonary cocaine toxicity, and life-threatening, irreversible long-term effects, including crack lung.

What Is Crack Lung?
Medical professionals use the term crack lung to broadly describe the respiratory injuries and complications caused by smoking crack cocaine. For those wondering what is crack lung, it refers to a severe pulmonary condition marked by inflammation, bleeding, and scarring of the lung tissues caused by inhaling crack smoke and other toxic chemicals.
Crack lung is an acute pulmonary and lung disease resulting from smoking crack cocaine; it can develop after prolonged use or as quickly as 48 hours after heavy crack smoking. The pulmonary system includes the airways, heart, lungs, arteries, veins, and blood vessels.
One of the most famous possible cases of crack lung was singer Amy Winehouse, who in 2008 announced she was suffering from “early signs of emphysema” and was seeking treatment. Previous to the announcement, footage of Winehouse smoking what appeared to be crack leaked to the press, leading to speculation that her health condition was pulmonary complications from drugs. Winehouse later died at age 27, joining the fabled 27 Club with other musicians who struggled with drug abuse.
Crack lung has similar symptoms to emphysema or pneumonia, including shortness of breath, chest pain, and coughing. What starts as inflamed and irritated lung tissue, crack lung can quickly progress into respiratory failure and possibly death. However, pneumonia will heal with proper treatment, and emphysema is extremely rare in people under 40.
Once lung tissue scars, doctors consider it irreparably damaged and stress that there is a small window of time to treat crack lung properly to avoid permanent damage and death.
Possible pulmonary complications from crack lung include:
- Fluid in the lungs
- Blood in the lungs
- Blocked arteries
- Scarred lung tissue
- Damaged esophagus and trachea
- Weakened immune system
- Higher risk of tuberculosis
- Worsened asthma
- Air escaping the lungs into the chest cavity
- Lung tissue death
- Collapsed lung
- Respiratory failure
- Coma
- Death
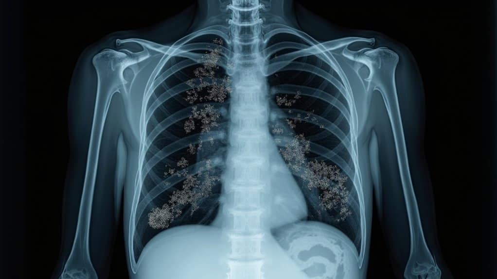
Doctors who’ve examined patients with crack lung symptoms report the lungs sound crackly, like someone crumpling up cellophane. In many diagnostic cases, a crack lung CT scan helps reveal how much damage has occurred and whether there are visible ground-glass opacities or scarring within the lungs.
To diagnose crack lung, CT scans and chest X-rays (CXR) are the fastest course of action for emergency departments, especially when the person is not honest about drug abuse. Crack lung CT scan and crack lung radiology images and crack lung CXR will show ground glass opacities (GGO), which appear like shattered or spun glass inside the lungs. GGOs show inflammation, fluid, puss, or scar tissue and help medical professionals figure out how severe the issue is and the best course of treatment.
Signs and Symptoms of Crack Lung
Signs and symptoms of crack lung can develop quickly in people who smoke large amounts of crack cocaine in a short time. Long-term crack cocaine users are also at risk of developing crack lungs.
People with asthma or other pulmonary diseases have a higher risk of crack lung complications and respiratory failure.
Signs and symptoms of crack lung include:
- Coughing
- Chest pain
- Wheezing
- Phlegm
- Shortness of breath
- High blood pressure
- Coughing up blood
- Lightheadedness
- Dizziness
- Fever
- Chills
- Nausea
Immediately call 911 or get to an emergency department if you or someone you are with experiences any of these symptoms; it can take less than 48 hours for the damage to become permanent.

Treat Crack Cocaine Addiction at Northridge Addiction Treatment Center
Crack cocaine addiction can happen to anyone, and everyone deserves a chance to live a fulfilling, healthy life. At Northridge Addiction Treatment Center, we take a holistic, whole-person approach to overcoming addiction and treating the disease, not just the symptoms.
In the privacy of our residential treatment center, we provide onsite medical detox to get you through the physical and psychological withdrawal from crack cocaine with 24-hour medical care and support.
After detox, our dedicated and licensed staff at NATC works with each resident to develop a personalized treatment plan for your unique needs and goals. Through individual therapy, group therapy, and support groups, you will build a support network and learn healthy and productive skills to help you achieve life-long recovery.
We are eager to speak with you and help you take the first steps toward recovery. Reach out to us now.





